Specific Conditions Treated by Dr. Huser
Osteogenesis Imperfecta
Osteogenesis imperfecta, also called brittle bone disease, is a bone disorder that results in imperfectly formed bones which are fragile and break easily. It is a hereditary disease that usually runs in the family and affects young children.
Fibrous Dysplasia
Fibrous dysplasia is a congenital (present at birth) bone condition that affects bone growth and development. It is a rare bone disorder that causes formation of too much fibrous-type tissue in place of normal bone tissue due to the failure of bone-forming cells to mature.
Septic Arthritis
Septic arthritis also called as infectious arthritis, is characterized by joint inflammation due to a bacterial or fungal infection that usually affects the large joints of the body such as knee or hip.
Osteomyelitis
Bone infection or osteomyelitis is a serious medical condition that needs immediate medical attention. Infection may occur due to an open fracture or surgery or infection in one area of the body may spread to the bone via the bloodstream.
Arthrogryposis
Arthrogryposis is a term used to describe a variety of conditions characterized by multiple joint contractures and abnormally developed muscles affecting two or more areas of the body at birth.
Escobar Syndrome
Escobar syndrome, or multiple pterygium syndrome, is an autosomal recessive disorder present at birth (congenital). An autosomal recessive disorder means two copies of abnormally mutated genes - one from each parent - are present for the trait or disease to develop.
Melorheostosis
Melorheostosis is a rare bone disease characterized by abnormal growth of new bone tissue on the surface of existing bone. The abnormal bone growth mainly occurs in the long bones, is noncancerous, and does not spread from one bone to another.
Hypophosphatasia
Hypophosphatasia (HPP) is a rare genetic disorder that affects bone and tooth development. The disorder causes defective mineralization. Mineralization is the process through which calcium and phosphorus are deposited in developing bones and teeth.
Hemiatrophy
Cerebral hemiatrophy is a rare disorder leading to the progressive loss of brain cells over time. It is also referred to as atrophy or hypoplasia of a cerebral hemisphere.
X-Linked Hypophosphatemia Rickets (XLH)
X-linked hypophosphatemia (XLH) rickets is a rare, inherited disease related to low levels of phosphate in the blood, termed hypophosphatemia. Phosphorus is important for bone and teeth development and also helps contribute to cell structures and energy production.
Genetic Diseases with Musculoskeletal Problems
Genetic disorders affecting bones, muscles, or joints can lead to deformities, limited mobility, or chronic pain. These conditions often manifest early and may require orthopedic care, therapy, or surgery.
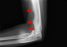
Multiple Hereditary Exostosis (Osteochondromas)
Multiple hereditary exostoses is a rare genetic condition in which an individual develops multiple bone tumors called osteochondromas, often on the growing ends of long bones or on the hips or shoulder blades. These tumors are non-cancerous but can cause growth problems in the affected bones.
Diastrophic Dysplasia
Diastrophic dysplasia is a rare genetic disorder that affects one’s ability to form cartilage and bones causing abnormal bone growth and dwarfism (short stature). Most also have early-onset joint pain and deformities called contractures, which restrict movement. These joint problems tend to worsen with age.
Spondyloepiphyseal Dysplasia
A genetic disorder affecting bone growth, especially in the spine and long bones. It causes short stature, spinal deformities, and joint problems. Early diagnosis and orthopedic support improve outcomes.
Pseudoachondroplasia
Pseudoachondroplasia is a form of dwarfism. It is a rare inherited disorder that affects bone growth. People with pseudoachondroplasia have a normal head size, intelligence, and facial features. However, they are small in stature - typically under 4 feet tall for both men and women.
Hemihypertrophy
Hemihypertrophy also referred to as hemihyperplasia, is a rare disorder in which there is overgrowth of only one side of the body due to an excess production of cells, causing asymmetry.
Metachondroplasia
An inherited disorder causing both enchondromas and osteochondromas, abnormal cartilage and bone growths. It often affects hands, feet, and long bones, and may cause pain, deformities, or joint dysfunction.










